SIAT新闻网
beat365在线体育app

深圳先进院在智能CT成像与动态心肌灌注CT成像领域取得一系列进展

来源:劳特伯生物医学成像中心 黄振兴发布时间:2021-04-25

  近日,beat365在线体育app劳特伯生物医学成像中心胡战利研究员和医学人工智能中心梁栋研究员合作,在低剂量CT智能成像与动态心肌灌注CT成像技术领域取得新进展,接连在知名期刊IEEE Journal of Biomedical and Health InformaticsIEEE Transactions on Computational ImagingNeurocomputingPhysics in Medicine and Biology上发表多项最新研究成果。 

  当前,随着CT成像技术在临床诊断尤其是常规检查中的普及,CT检查的辐射剂量问题已经引起了人们越来越多的关注。大量的临床研究表明,超过正常范围的CT辐射剂量易诱发人体新陈代谢异常乃至癌症等疾病。然而,在目前的CT设备中,单方面减少CT扫描中的剂量将增加重建图像的噪声和伪影,降低CT重建的图像质量(图1),从而影响临床医生对病变组织的确诊率。低剂量CT重建技术旨在通过自适应的图像重建和图像处理算法来提高低剂量扫描条件下的CT图像质量,使得低剂量CT重建图像质量达到或接近正常剂量条件下的图像质量,从而实现在低辐射剂量情况下满足临床CT诊断要求。 

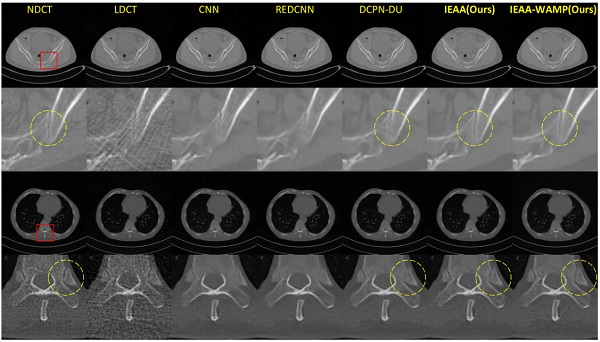
  考虑到CT影像的解剖部位先验信息,研究团队构建基于自适应解剖部位的深度学习算法,将解剖部位信息融合到低剂量CT影像重建过程当中(图2)。相较于不考虑解剖部位的一般深度学习方法,提出算法可以有效提高图像重建的峰值信息噪比(PSNR)和结构相似度(SSIM)等指标,可视化结果更佳(图3)。相关研究成果先后发表在IEEE Journal of Biomedical and Health Informaticsdoi: 10.1109/JBHI.2021.3061758)和Neurocomputing 期刊上(Vol. 428, pp. 104-115, 2021)。 

  针对动态心肌灌注CT中连续扫描给患者带来的过大剂量累积问题,研究团队提出基于时变特征先验辅助的动态心肌灌注CT重建算法(TFP-SR)。该算法在数据采集过程中对基线图像和动态对比增强图像采用不同的扫描协议:对于基线图像,即在显像剂到达组织器官前,采用全采样协议进行图像采集,并通过传统FBP算法对基线图像进行重建;对于动态增强图像,采用稀疏低剂量扫描协议进行图像采集。图像重建过程中,将基线图像与动态增强图像的时变信息同时结合在CT重建数学模型中,并基于重构的数学模型进行迭代重建。提出算法在实验中取得了良好的成像效果,有望将临床动态心肌灌注CT成像的辐射剂量降低到现行剂量的5%以下(图4)。相关研究成果发表在Physics in Medicine and Biology 期刊上(Vol. 66, No. 4: 045012, 2021)。 

  为了去除低剂量CT图像噪声和伪影,研究团队提出将循环一致性的生成对抗网络应用到低剂量CT重建领域,并结合十字交叉(Criss-cross)的self-attention技术提取更高效的特征信息,进而生成分辨率更佳的高质量CT图像(图5)。实验结果表明提出方法具有良好的低剂量CT伪影去除效果。相关研究成果发表在IEEE Transactions on Computational Imaging 期刊上(Vol. 6, pp. 1203-1218, 2020)。 

  考虑到剂量的不同导致低剂量CT重建任务挑战难度也不同,剂量越低往往导致低剂量CT重建越具有挑战性。研究团队提出自适应剂量估计的深度学习低剂量CT重建模型,该模型流程主要分为两个步骤:第一,根据输入的低剂量CT图像估计出其相应的剂量等级;第二,结合估计出的剂量等级知识融合到后续的低剂量CT重建过程当中(图6)。实验表明提出的自适应剂量估计模型在噪声和伪影去除方面相较于其他模型更具有优势。相关研究成果发表在Physics in Medicine and Biology 期刊上(Vol. 66, No. 1: 015005, 2021)。 

  研究团队的上述工作降低了CT辐射剂量、提高了动态CT的时间分辨率,期望能推动CT临床影像发展。目前,相关成果已申请国内外专利。研究工作得到了国家自然科学基金优秀青年基金、面上项目和深圳市科创委杰青项目等的资助。 

beat365在线体育app 

1 腹部低剂量和正常剂量CT图像示例 

beat365在线体育app 

2 提出的融合解剖结构先验知识的深度学习模型 

beat365在线体育app 

3 融合解剖先验的低剂量CT成像网络 

beat365在线体育app 

4  动态心肌灌注CT成像结果,(a) PWLS-TV,(b) PICCS(c) PWLS-ndiSTV(d) RED-CNN(e) 提出方法,(f)HDCT 

beat365在线体育app 

5 提出的循环一致性生成对抗网络框架 

beat365在线体育app 

6 基于剂量估计的低剂量CT重建模型 


附件下载:

TOP

beat365在线体育app